Beugels

Er zijn verschillende soorten beugels. Een slotjesbeugel bijvoorbeeld. Die zit aan je tanden vast. Ook zijn er beugels die je zelf in en uit kunt doen. Soms komt daar een buitenboordbeugel bij. Die zit met een band om je achterhoofd of je nek vast Misschien moet je de beugel dag en nacht dragen. Of je hoeft hem alleen maar 's nachts in. Het hangt er allemaal vanaf hoe scheef je tanden en kiezen staan. En wat er voor nodig is om ze op de goede plek te krijgen. Dat bepaalt welke beugel voor jou de beste is en wanneer je die beugel moet dragen.

Hoe werkt een beugel?
Een beugel trekt of duwt je tanden en kiezen in de goede richting. Een beugel moet je regelmatig laten bijstellen. Dan blijft hij je tanden en kiezen de juiste kant op duwen. Soorten beugels : 1. vaste beugel ... 2. plaatbeugel ... 3. Activator ... 4. Buitenbeugel ...
Wat voel je van een beugel? 
De eerste dagen is het een vreemd gevoel dat er een beugel in je mond zit. Daarna raak je eraan gewend. Dan is het vreemde gevoel weg. Soms kunnen je tanden en kiezen na het aanbrengen of bijstellen van de beugel gevoelig zijn.


Mobirise

1. Vaste beugel

Met een vaste beugel is het mogelijk om individuele tanden en kiezen (of groepjes tanden en kiezen) te verplaatsen - desgewenst in iedere willekeurige richting. Deze beugel wordt vaak gebruikt in combinatie met andere soorten beugels.

Een vaste beugel bestaat uit op je tanden geplakte slotjes (brackets), waar een draad doorheen wordt geregen. Bijna iedereen die door de orthodontist wordt behandeld krijgt op een bepaald moment een vaste beugel. Dergelijke 'vaste apparatuur' wordt vaak in combinatie met andere types beugels gebruikt.

Bij kinderen begint de orthodontische behandeling vaak tijdens het wisselen van de tanden. Het heeft echter alleen zin om de vaste beugel te gebruiken op de blijvende tanden (dus niet op het melkgebit). Vandaar dat vaste apparatuur vaak in de laatste fase van de behandeling wordt toegepast.

Werking

Met een vaste beugel is het mogelijk om individuele tanden en kiezen (of groepjes tanden en kiezen) te verplaatsen - desgewenst in iedere willekeurige richting. Een bracket is als het ware een klein handvatje op je tand. Dankzij deze slotjes kan de orthodontist een kracht uitoefenen op een tand die scheef staat, en daarmee die tand in de gewenste richting verplaatsen. De draad die door alle slotjes loopt dient daarbij als een soort 'rail', de tand of kies zal zich langs deze geleidingsrail gaan verplaatsen.

Een gedeelte van het gebit, bijvoorbeeld een groepje van vier tanden, kan worden gebruikt als 'anker'. Via dit anker kan er een kracht (trekken of duwen) op een andere tand worden uitgeoefend - via een elastiekje ('power-chain'), een spiraalveertje (tanden uit elkaar drukken), of een 'stapje' in de boog - waardoor deze tand geleidelijk aan wordt verplaatst. Door de constante druk op de tanden - je kunt deze beugel tenslotte niet uitdoen - is het mogelijk de tanden met ongeveer 1 millimeter per maand te verplaatsen.

De tand of kies verplaatst zich dan 'evenwijdig' door het kaakbot: aan de ene kant wordt botweefsel afgebroken, terwijl er aan de andere kant nieuw bot wordt aangemaakt. Dit proces vindt ook nog plaats wanneer je bent uitgegroeid. Volwassenen kunnen dus ook worden behandeld met vaste apparatuur.

Ook met een plaatbeugel is het mogelijk om individuele tanden of kiezen te verplaatsen. De orthodontist kan de krachten dan echter veel minder subtiel sturen dan bij een vaste beugel. Bij de plaatbeugel is er sprake van een losse 'veer' (een gebogen draadje) die tegen een tand aandrukt, waardoor de tand in feite 'kantelt'. Zoals eerder gezegd hebben we bij de vaste beugel op iedere tand een handvat, waarmee meer ingewikkelde bewegingen zijn te sturen.

Mobirise

Plaatsing

De orthodontist kan alleen een vaste beugel in je mond plaatsen als je tanden en kiezen goed schoon zijn. Je moet dus zelf goed poetsen. Voordat de slotjes worden geplaatst maakt de orthodontist je tanden en kiezen heel goed schoon. De slotjes moeten tenslotte heel stevig op je tanden worden geplakt. Voor elke tand is er een eigen maat bracket. Deze behandeling duurt drie kwartier tot een uur.

Mobirise

Dragen van een beugel

Als de vaste beugel is geplaatst kunnen je tanden en kiezen de eerste dagen wat gevoelig zijn, en ook je tong en wangen kunnen een beetje geïrriteerd zijn. In dat geval kun je een speciale was op de scherpe puntjes van de beugel doen. Voor het eten moet je deze was wel weghalen.
Na het tandenpoetsen moet je de was opnieuw aanbrengen. Na enkele dagen is de was niet meer nodig omdat je mond dan aan de vaste beugel is gewend.

De dunne draadjes van je vaste beugel kunnen verbuigen en de slotjes kunnen afbreken. Eet dus geen harde, taaie of kleverige dingen. Dus geen pinda's, nootjes, dropjes, toffees, kauwgom of stokbrood. Snij een appel of ander hard fruit eerst in stukjes. Als er toch iets verbuigt of afbreekt kun je het beste een extra afspraak met je orthodontist maken.

Mobirise

Elastieken

                                         

Elastieken worden vaak gebruikt in de laatste fase van de behandeling met een vaste beugel. Dit zijn de zogeheten 'inter-maxillaire' elastieken, dit zijn elastieken die tussen de boven- en onderkaak worden gespannen. 
De elastieken worden gespannen tussen je boven- en onderkaak. Het doel van elastieken is om de 'pasvorm' van de boven- en onderkiezen goed te krijgen.

Hiermee kan een overbeet worden gecompenseerd en worden de kiezen naar een normale beet 'getrokken'. Een vaste beugel met elastieken kan dus hetzelfde effect hebben als een activator: de groei van de bovenkaak wordt afgeremd en de groei van de onderkaak wordt gestimuleerd. Met de activator kan in het algemeen echter een grotere verplaatsing worden bereikt dan met elastieken.

Elastieken kunnen ook gebruikt worden om individuele tanden of kiezen te verplaatsen. Een groepje kiezen in de onderkaak kan dan bijvoorbeeld als 'anker' dienen, en het andere uiteinde van de elastiek wordt vastgemaakt aan een tand in de bovenkaak. Door de kracht die de elastiek op deze tand uitoefent kan deze worden verplaatst.

Richtlijnen voor elastieken:

- draag ze altijd op de juiste manier volgens instructie van de orthodontist

- houd altijd wat reserve elastieken bij de hand voor het geval er een stuk springt

- het heeft geen nut ze dubbel aan te haken in het geval je ze één dag vergeten bent

- ook dubbel dragen ’s nachts, vervangt de uren overdag niet!

- vervang ze regelmatig (normaal 1x/24u) om hun elasticiteit op peil te houden

- indien je de elastieken om de een of andere reden niet kunt dragen, raadpleeg dan onmiddellijk je orthodontist voor verdere instructie

2. Plaatbeugel

Net als bij de vaste beugel is het met een plaatbeugel mogelijk om individuele tanden en kiezen te verplaatsen. Een belangrijk verschil is dat je met een plaatbeugel alleen tanden of kiezen kunt 'kantelen'. Verder is de plaatbeugel uitneembaar en de vaste beugel (uiteraard) niet.
De beugel bestaat uit een stuk plastic dat tegen je gehemelte zit. Deze 'plaat' zit vast met haakjes om tanden of kiezen of met een draad die aan de voorzijde van je tanden loopt. De plaatbeugel wordt ook wel 'losse beugel' genoemd.
Het is ook mogelijk dat je een plaatbeugel voor je onderkaak hebt, deze zit dan onder de tong. Dit type wordt echter niet veel gebruikt, omdat een dergelijke beugel nogal vervelend is om te dragen.


Mobirise

Werking

De plaatbeugel steunt op je gehemelte en zit met haakjes of een draad vastgeklemd aan tanden of kiezen. Speciaal gebogen draden - die veertjes worden genoemd - kunnen dan tegen tanden of kiezen aandrukken en deze verplaatsen.

Net als bij de vaste beugel is het met een plaatbeugel dus mogelijk om individuele tanden en kiezen te verplaatsen. Het verschil is wel dat je met een plaatbeugel alleen tanden of kiezen kunt 'kantelen', en niet echt door het kaakbot kan verplaatsen (zoals met een vaste beugel dus wel mogelijk is).

Mobirise

Plaatsing

De plaatbeugel wordt gemaakt aan de hand van de scan van je gebit. Heel uitzonderlijk is nog eens een afdruk nodig. 
Als de plaatbeugel klaar is zal de orthodontist kijken of de beugel goed past, en de veertjes 'activeren' - dus zo instellen dat ze tegen de scheve tand of kies duwen.

De plaatbeugel kun je zelf in de mond plaatsen en er ook weer uithalen. In het begin kan het handig zijn om bij het indoen een spiegel te gebruiken. De meeste uitneembare beugels moeten dag en nacht worden gedragen. Dat kan in het begin vervelend zijn als praten en slikken nog wat lastig is. Meestal moet je de plaatbeugel tijdens het eten ook inhouden.

Mobirise

Onderhoud

Na het eten moet je de plaatbeugel uit je mond halen en schoonmaken, en ook je tanden poetsen. Daarna kun je de beugel weer indoen. Als je de beugel en je gebit niet goed schoonmaakt blijft er voedsel tussen beugel en tandvlees zitten, en kan je tandvlees geïrriteerd raken.

Bij het schoonmaken van de beugel kun je gewoon een tandenborstel met tandpasta gebruiken. Je moet dit wel voorzichtig doen omdat anders de veertjes verbuigen.

Controle : De orthodontist zal vooral letten op de voortgang die is bereikt, en de plaatbeugel opnieuw bijstellen. Je eigen motivatie is erg belangrijk, je kunt de beugel tenslotte zelf uit je mond halen en als je dit te vaak doet zal het gewenste resultaat niet worden bereikt. Doe dus je best om de aanwijzingen van de orthodontist op te volgen.

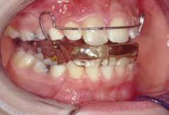
3. Activator

De activator is een uitneembare beugel die bestaat uit een gedeelte voor de bovenkaak en een gedeelte voor de onderkaak. De beugel wordt 'actief' bij praten of slikken. De activator is zo gemaakt dat je bij praten of slikken de onderkaak naar voren moet bewegen; hierdoor wordt de beugel 'actief'. Deze beugel wordt ook wel blokbeugel genoemd. 

Werking

De activator is zo ontworpen dat iedere keer als je je kaakspieren gebruikt - bijvoorbeeld bij praten of slikken - de beugel wordt 'geactiveerd', vandaar ook de naam activator. De activator oefent een achterwaartse druk uit op de tanden en kiezen van de bovenkaak en een voorwaartse druk op de tanden en kiezen van de onderkaak. Op deze manier stimuleert de activator de groei van de onderkaak en wordt de groei van de bovenkaak afgeremd. Met een activator kan in korte tijd een overbeet en/of voorbeet worden verminderd.

Orthodontisten noemen de activator een 'functionele beugel': doordat dat beugel je dwingt om de stand van je kaken te veranderen worden je kaken op een andere manier gebruikt - de functie wordt anders. Als de groei van de onderkaak wat is achtergebleven kan de activator er voor zorgen dat de groeimogelijkheden weer optimaal worden benut.

Net als bij de buitenbeugel werkt de activator alleen als je nog in de groei bent. Deze beugel kan dus niet worden gebruikt bij volwassenen. Bij ouderen kan de stand van de kaken alleen worden veranderd door middel van een kaakoperatie.

Mobirise

Plaatsing en dagen

De activator wordt gemaakt op geleide van een gipsmodel en een wasbeet. 
De activator wordt dus gemaakt aan de hand van de gewenste (toekomstige) verhoudingen tussen boven- en onderkaak. Wanneer je de activator draagt wordt je dus gedwongen om je onderkaak in deze positie te brengen en wordt de onderkaak hierdoor dus ook gestimuleerd om op deze manier te groeien.  
In principe moet je de activator dag en nacht dragen. Het beste resultaat krijg je als je de activator minimaal 16 uur per etmaal draagt. Je mag de beugel uitnemen om te eten en om je tanden te poetsen. Ook wanneer je gaat sporten moet je de activator uitdoen.

Vooral in het begin kan praten met de activator erg lastig zijn, maar na enige oefening zal dit gemakkelijker worden. Bij spreekbeurten of voorlezen kun je de beugel natuurlijk wel even uitdoen.

De activator kan drukplaatsen geven op het slijmvlies in de mond. Drukplaatsen onder de tong kunnen er op duiden dat je tijdens het dragen de onderkaak niet ver genoeg naar voren houdt. In het begin kan de activator ook spierpijn veroorzaken, dit is een teken dat de beugel werkt. Als de drukplaatsen of de spierpijn niet verdwijnen moet je de orthodontist bellen voor een extra afspraak.

Mobirise

Onderhoud en controle

Als je de activator niet draagt is de meest veilige plaats het bijgeleverde doosje. Doe hem nooit los in je zak of in een tas want de metalen onderdelen kunnen gemakkelijk verbuigen.
Het schoonmaken kan met een gewone tandenborstel en water gebeuren, liefst tweemaal per dag. 

Als je een activator draagt zal je iedere zes tot twaalf weken op controle moeten komen, waarbij de orthodontist vooral zal letten op de voortgang die je hebt gemaakt. De overbeet moet bij iedere afspraak minimaal 1 millimeter afnemen. Als dit niet zo is dan zal je de activator gedurende meer uren per dag moeten dragen. Ook zal de orthodontist bij ieder bezoek de activator bijstellen voor de komende periode.

De activator kan alleen succesvol worden toegepast als je voldoende gemotiveerd bent om de beugel te dragen volgens de aanwijzingen

De Cremer - De Vooght VOF
Ronkenburgstraat 16
9340 Lede
Tel : +32 (0)53 806392
Online agenda

No Code Website Builder