Tanden knarsen

Tanden knarsen of bruxisme

Tandenknarsen of tandenklemmen (bruxisme) is het beste te omschrijven als het met geweld over elkaar heen schuiven of het met kracht op elkaar klemmen van tanden en kiezen. Het geeft een schurend of knarsend geluid. Het doet zich meestal voor tijdens de slaap, sommige mensen hebben er ook overdag last van. Tandenknarsen komt zowel bij kinderen als bij volwassenen voor. Volgens schattingen zou dit voorkomen bij 14 tot 20 % van de kinderen en bij 6 tot 20 % van de volwassenen. Na de leeftijd van 50 jaar lijkt het aantal verder te dalen. Vrouwen hebben vaker last van klemmen dan mannen.

Veel mensen realiseren zich niet dat ze dit doen, tot iemand ze vertelt dat ze in hun slaap allerlei knarsende geluiden produceren. Bij anderen ontdekt de tandarts tijdens een controle dat de tanden abnormaal verslijten of dat het tandglazuur gebarsten is.

Wanneer u vermoedt dat u aan tandenknarsen lijdt, is het alleszins aan te raden om uw gebit te laten onderzoeken door de tandarts.

Gevolgen

Het geluid van de knarsende tanden kan voor uw bedpartner bijna even storend zijn als snurken.
Tandenknarsen en –klemmen, vooral ’s nachts, kan vooral een aantal nadelige gevolgen hebben voor het gebit en de kaken.

• Er kan abnormale slijtage optreden aan de tanden.

• Stukken tandglazuur en/of vullingen kunnen afbreken.

• Bij verzwakte tanden kan de tandkroon of -wortel breken en hevige pijn veroorzaken.

• Tanden kunnen los komen te zitten.

• Bij mensen met tandimplantaten kan het bot rond de schroef vernietigd worden en langzaam verdwijnen of kan de schroef onder invloed van de kracht breken.

• U kunt spierpijn krijgen in de kauwspieren.

• De kauwspieren kunnen dikker worden, waardoor de vorm van het gezicht verandert.

Kaakgewrichtspijn en hoofdpijnen

Langdurig knarsetanden kan aanleiding geven tot klachten van het kaakgewricht of cranio mandibulair dysfunctie syndroom.

Klassieke verschijnselen van CMD :

- pijn in de regio van de kauwspieren en/of kaakgewricht

- pijnen in het aangezicht met uitstraling naar hoofd, nek en schouders

- kaakgewrichtsgeluiden en/of verminderde mondopening

Heel typisch voor CMD zijn de hoofdpijnen ‘s ochtends. Zij worden dan ook vaak ten onrechte verward met migraine.

Mobirise

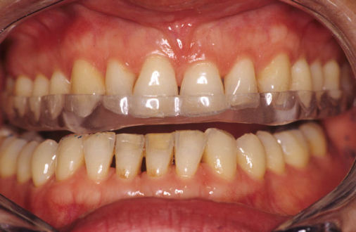
Behandeling - Knarsplaat of opbeetplaat

                                         

Is een dunne kunststof plaat die over de boventanden schuift en waarmee de patiënt slaapt.

De plaat beschermt de tanden en verhinderd knarsen. Doordat de patiënt niet meer knarst verdwijnen geleidelijk de pijnklachten.

De gewenning aan een knarsplaat is minimaal.

Mobirise

De Cremer - De Vooght VOF
Ronkenburgstraat 16
9340 Lede
Tel : +32 (0)53 806392
Online agenda

AI Website Generator