Implantologie


Mobirise

Wat is een implantaat

Een implantaat bootst de natuur na: het is ontworpen om stevig verankerd te zijn in de kaak en om de kunstmatige tand of kies op zijn plaats te houden. Het implantaat is een klein onderdeel dat wordt gemaakt van titanium, een titaniumlegering of keramiek – materialen die over het algemeen goed worden verdragen door het menselijk lichaam.

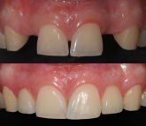
Vervangen van één tand of meerdere tanden

Een implantaat is ontworpen om een ontbrekende wortel te vervangen en dient als een ondersteuning voor een implantaat gedragen kroon. De gezonde aangrenzende tanden en kiezen hoeven niet te worden afgeslepen en blijven dus intact.

Esthetiek

Door het vervangen van de natuurlijke wortel door een implantaat komt de nieuwe tand opnieuw 'uit het tandvlees' wat een veel natuurlijker resultaat garandeert.

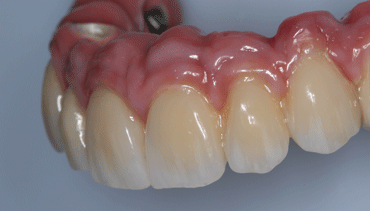
Wanneer meerdere tanden moeten vervangen worden, wordt meestal gekozen voor twee of meer implantaten waarbij de overige tanden vervangen worden door een brug. De totale brug wordt vastgeschroefd op de implantaten.

Vervangen van alle tanden op de onder- of bovenkaak

Overkappingsprothese op implantaten

Hierbij worden 2 of meer implataten in een kaak geplaatst waarboven de tandarts een prothese die ‘vastklikt’ kan maken of zelfs een volledige tandenboog kan vastschroeven op deze implantaten.

Implantaten zijn een absolute meerwaarde in het comfort van een prothese. Zelfs 2 implantaten in de onderkaak maken van een probleemsituatie voor vele patiënten een stabiele en comfortable oplossing.

De diverse verankeringsmethoden van deze prothese worden in de praktijk nauwkeurig uitgelegd en met de patiënt besproken.

Vaste brug

Hierbij worden 4 of 6 implantaten geplaatst waarbij de tandenboog hersteld wordt door een vastgeschroefde constructie die de patiënt niet kan uitnemen.

In onze praktijk zijn wij in vele gevallen een voorstander van het concept ‘All-on-4’, in combinatie met een Visio-Lign brug. Een uitermate esthetisch resultaat, vastgeschroefd op 4 implantaten.

Nobel Biocare - All on 4

Implantaat gedragen prothese of brug

Het principe van een prothetisch herstel op implantaten kan u zien op het filmpje hiernaast

Meer info over implantaten

De Cremer - De Vooght VOF
Ronkenburgstraat 16
9340 Lede
Tel : +32 (0)53 806392
Online agenda

Offline Website Software