Tanderosie

Bij tanderosie wordt het tandglazuur opgelost door zuren uit dranken, voedingsmiddelen of het maagzuur.
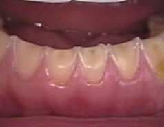
Tanderosie is een serieus probleem; het glazuur kan op termijn geheel oplossen. Eenmaal verdwenen glazuur komt niet meer terug.


Oorzaken tanderosie

Tanderosie is slijtage van het tandglazuur en ontstaat door rechtstreekse inwerking van zuren. Hierbij wordt onderscheid gemaakt tussen zuren afkomstig uit het lichaam (intrinsieke zuren) en zuren van buiten het lichaam (extrinsieke zuren).

Intrinsieke zuren spelen een rol als de maaginhoud (maagzuur) terugvloeit naar de mond. Dit komt door bijvoorbeeld oprispingen, maar ook door overgeven. Oprispingen kunnen voorkomen bij mensen met spijsverteringsklachten, brandend maagzuur of pijn rond de maagstreek. Mensen die kampen met eetstoornissen die gepaard gaan met frequent overgeven (boulimia) riskeren tanderosie. Ook de gewoonte voedsel te herkauwen kan een veroorzaker van tanderosie zijn.

Extrinsieke zuren kunnen slijtage veroorzaken door te veel, te vaak en/of te lange inname van zure voeding zoals frisdrank, citrusvruchten of medicatie (bijvoorbeeld aspirine, vitamine- C). Ook kan het gaan om mensen die vanwege hun beroep (bijvoorbeeld metaalbewerking, wijnproeven) zuren in de mond krijgen. Daarnaast hebben mensen met te weinig speeksel meer kans op erosie.

Mobirise

Tanderosie door voeding

Koolzuurhoudende drankjes (frisdranken) en vruchtensappen spelen een belangrijke rol bij tandersosie. In veel dranken zitten ‘verborgen’ zuren; de toegevoegde suiker of zoetstof zorgt ervoor dat de hoge zuurdosis niet opvalt.

De laatste jaren is het gebruik van frisdranken toegenomen, waardoor erosie steeds vaker voorkomt. Het gaat daarbij niet alleen om de totale consumptie van zuur voedsel en zure dranken, maar vooral om de frequentie, de duur, de tijdstippen en de wijze waarop het wordt geconsumeerd. Het is aan te raden om deze dranken tussen de maaltijden zoveel mogelijk te vervangen door water en melk, of gewone thee zonder suiker.

Mobirise

Kenmerken van tanderosie

In het beginstadium merkt u weinig van tanderosie. Pas in een later stadium kan tanderosie gevoeligheid bij eten en drinken veroorzaken. Het glazuur van uw tanden en kiezen wordt dunner. Dit veroorzaakt de gevoeligheid. Maar ook het uiterlijk van uw gebit verandert. De tanden worden geler, doordat het donkerder gekleurde dentine meer zichtbaar wordt. De tanden en kiezen kunnen ook kleiner worden.

Mobirise

Behandeling tanderosie

Een behandeling van deze slijtage begint bij preventie; het wegnemen van de oorzaak, wat meestal een gedragsverandering betekent. In een vroeg stadium is meestal geen verdere behandeling nodig. Echter, als het glazuur op delen van de tand of kies volledig is opgelost en het tandbeen (dentine) is bereikt kan dit leiden tot overgevoelige tanden en kiezen en pijn bij kauwen en verandering van het uiterlijk van de tanden en kiezen en daarom behandeling nodig maken.
In veel gevallen zal de tandarts proberen om met eenvoudige middelen, bijvoorbeeld met witte vullingen (composiet), het gebit weer zo goed mogelijk kunnen herstellen. Bij ernstig aangetaste tanden en kiezen, kan soms behandeling met inlays, kronen of facings nodig zijn.

Mobirise

Tips bij het voorkomen van tanderosie

                                         

Voeg indien mogelijk water toe aan de vruchtensappen om het zuur te verzwakken

Drink in plaats van frisdranken minder zure dranken. Het liefst ook zonder suiker. Water, gewone thee, koffie of melk.

Slik de drank bij voorkeur zo snel mogelijk door en als je toch frisdrank drinkt, gebruik een rietje dan komt het minder in contact met je tanden.

Poets twee maal per dag met een fluoride tandpasta om uw tanden sterker te maken. Het is daarbij aan te raden om een zachte tandenborstel en een laag slijtende (laag abrasieve) tandpasta te gebruiken

Nuttig ’s nachts en voor het naar bed gaan geen zure consumpties

Stimuleer de aanmaak van speeksel door te kauwen op suikervrije kauwgom; speeksel heeft een neutraliserende werking

De Cremer - De Vooght VOF
Ronkenburgstraat 16
9340 Lede
Tel : +32 (0)53 806392
Online agenda

HTML Generator